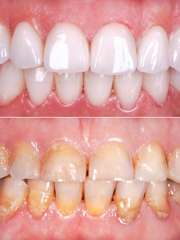
Gülüş tasarımı, modern diş hekimliğinde estetik ve fonksiyonel mükemmeliyet sağlayan önemli bir tedavi yöntemidir. Özellikle estetik kaygıları olan hastalar için geliştirilen Emax Veneers ve Laminate Veneers, dişlerin doğal yapısını koruyarak daha beyaz, düzgün ve çekici bir gülüş elde etmeye yardımcı olur. Her iki yöntem de estetik sonuçları ve minimal müdahale gerektirmesiyle dikkat çeker. Peki, bu kaplama yöntemleri nasıl çalışır ve kimler için uygundur?
Emax Veneers Nedir?
Emax Veneers, yüksek dayanıklılığı ve doğal görünümü ile bilinen porselen kaplamalardır. İnce porselen yapıları, ışık geçirgenliği ile doğal dişlere en yakın sonuçları sağlar. Özellikle ön dişlerde tercih edilen Emax Veneers, estetik açıdan kusursuz bir gülüş sunar.
- Doğal Görünüm: Emax kaplamalar, ışığı geçirgen yapısıyla doğal dişlere çok yakın bir görünüm sağlar.
- İnce Yapı: Bu kaplamalar, diş yüzeyine minimal müdahale ile uygulanır, böylece dişlerin doğal yapısına zarar verilmez.
- Dayanıklılık: Emax, güçlü yapısı sayesinde uzun yıllar dayanıklıdır ve doğru bakım ile uzun ömürlü sonuçlar verir.
- Renk Uyumu: Emax Veneers, diş renginize en uygun tonda tasarlanarak renk uyumu sağlar. Zamanla renklenme veya sararma yapmaz.
Laminate Veneers Nedir?
Laminate Veneers, dişlerin ön yüzeyine yapıştırılan ince porselen yapraklardan oluşan kaplamalardır. Bu yöntem, dişlerde minimum aşındırma gerektirir ve estetik olarak mükemmel sonuçlar elde edilir. Laminate Veneers, genellikle dişlerdeki küçük çapraşıklıkları, renk değişimlerini veya aşınmaları düzeltmek için kullanılır.
- Minimal Müdahale: Dişlerin doğal yapısını koruyarak yalnızca ön yüzeylerinde hafif aşındırma yapılır.
- Estetik Çözümler: Dişlerdeki renklenmeler, şekil bozuklukları ve küçük çapraşıklıklar bu yöntemle kolayca düzeltilir.
- Hızlı Uygulama: Laminate Veneers, birkaç seans içinde uygulanabilir ve kısa sürede estetik sonuçlar elde edilir.
- Diş Eti Dostu: Diş eti çizgisine mükemmel uyum sağladığından, diş eti sorunları yaşanmaz.
Uygulama Süreci
Emax ve Laminate Veneers uygulama süreçleri benzer aşamalardan oluşur ve hastanın ihtiyaçlarına göre kişiye özel planlanır:
- Muayene ve Planlama: Diş hekiminiz, dişlerin durumunu değerlendirir ve gülüş tasarımı planı oluşturur. Yüz şekliniz, diş yapınız ve estetik beklentileriniz dikkate alınır.
- Diş Hazırlığı: Dişlerin ön yüzeyleri minimal aşındırma ile kaplamalara uygun hale getirilir. Laminate Veneers için bu aşındırma işlemi oldukça hafif yapılır.
- Ölçü Alma: Dişlerinizin ölçüleri alınır ve laboratuvara gönderilir. Burada kişiye özel Emax veya Laminate Veneers hazırlanır.
- Kaplamaların Yerleştirilmesi: Hazırlanan kaplamalar dişlerin üzerine yerleştirilir, estetik ve fonksiyonel uyumu kontrol edilir ve gerekli düzeltmeler yapılır.
Emax ve Laminate Veneers Kimler İçin Uygundur?
- Diş Estetiği İsteyenler: Dişlerinde şekil bozukluğu, renklenme veya küçük çapraşıklıklar olan hastalar için bu kaplamalar mükemmel bir çözümdür.
- Minimum Müdahale İsteyenler: Dişlerinin doğal yapısına zarar vermeden estetik bir gülüş elde etmek isteyenler için uygundur.
- Doğal Görünüm Arayanlar: Doğal diş yapısına en yakın görünümü sağlayan bu kaplamalar, doğal ve estetik bir gülüş isteyenler için idealdir.
Sıkça Sorulan Sorular (SSS)
Emax Veneers dayanıklı mıdır?
Evet, Emax Veneers, dayanıklı yapısı sayesinde uzun ömürlüdür ve doğru bakım ile 10-15 yıl boyunca kullanılabilir.
Laminate Veneers ile dişlerim doğal mı görünecek?
Evet, Laminate Veneers ince yapısı sayesinde doğal dişlerinizle neredeyse birebir aynı görünümü verir.
Emax ve Laminate Veneers arasındaki fark nedir?
Emax Veneers, daha dayanıklı ve opak bir yapıya sahipken, Laminate Veneers daha ince ve hafif aşındırma gerektiren bir kaplamadır. İkisinin de estetik avantajları vardır.
Kaplamalar diş rengimle uyum sağlar mı?
Evet, her iki kaplama yöntemi de diş renginize en uygun tonda tasarlanır ve renklenme yapmaz.

